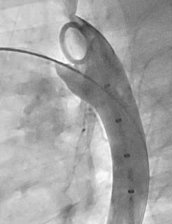
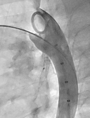
Bilindiği gibi artık PDA’ların bir çoğu ameliyatsız kapatılabilmektedir. Burada Duct Accluder I tipi cihazın yerleşimi görülmektedir. Bu tip işlemlerin en büyük faydası komplikasyon oranlarının çok düşük olması ve hastanın ertesi gün normal hayatına devam edebilmesidir.
Şekiller: Geniş bir PDA’nın kapatılma öncesi ve sonrası görünümü





