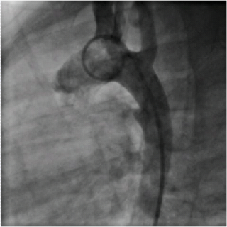
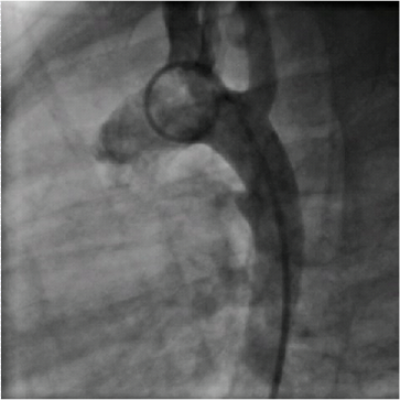
PDA anne karnında açık olan ve dolaşımı sağlayan kanalın, doğumdan sonra kapanmayıp açık olarak devam etmesidir. Bu açıklığın boyutuna göre hastanın yakınmaları değişir. Bazen hiçbir yakınma yapmayıp tesadüfen saptanır, bazen de ağır kalp yetersizliğine ve ciddi sorunlara yal açabilir. Bugün PDA larda güncel tedavi genellikle amaliyatsız (girişimsel yöntemler) kapatma şeklindedir…Alttaki resimde PDA açıklığı ve coil ile başarı ile kapatılmış PDA yı görmektesiniz…Bu hasta için çok konforlu bi işlemdir ve hastayı ameliyattan kurtarır…





